English תנאי שימוש הודעות מפת האתר פורום צור קשר דף הבית  
דף הבית רפואה וטיפול  טיפולים ותרופות  ניתוח קיבוע קרסול


 

 

 

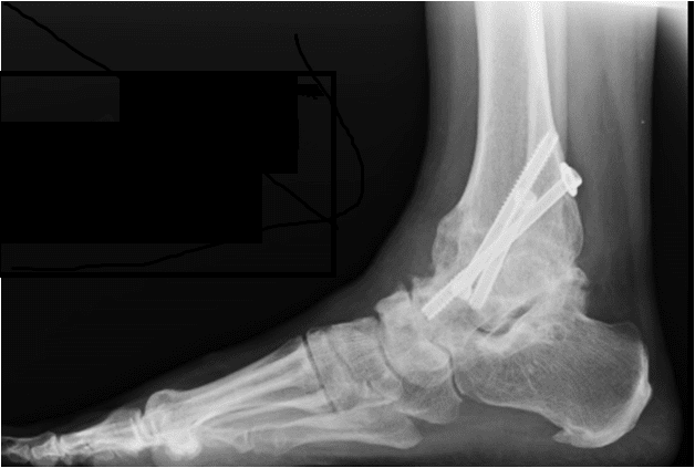
ניתוח לקיבוע הקרסול בחולה המופיליה. שודר בתוכנית המתמחים 4.8.2022

שודר בתוכנית המתמחים של שידורי קשת (ערוץ 12) בה הוצג הניתוח בחולה המופיליה

הסרט באורך של 21:50 דקות. הוקלט ונערך ע"י אלי וישניצר.

צפייה מהנה

רקע: מהו הניתוח ולשם מה הוא נחוץ
מתוך האתר של ד"ר פלמנוביץ' https://dr-palmanovich.com/%D7%A0%D7%99%D7%AA%D7%95%D7%97-%D7%A7%D7%A8%D7%A1%D7%95%D7%9C/%D7%A7%D7%99%D7%91%D7%95%D7%A2-%D7%9E%D7%A4%D7%A8%D7%A7-%D7%A7%D7%A8%D7%A1%D7%95%D7%9C/

למה לנתח את מפרק הקרסול? המטרה של ניתוח זה היא לקבע את מפרק הקרסול.

למי מומלץ לעבור ניתוח קיבוע מפרק קרסול?

בדרך כלל ניתוח זה מומלץ לחולים עם כאבים קשים במהלך תנועות של מפרק הקרסול. הכאבים, בדרך כלל נוצרים מהיסטוריה של שברים ישנים או מדלקת פרקים (גם כתוצאה מדימומים בהמופיליה)שגרמו לנזק בלי הפיך בפרק הקרסול.

מה המטרה בניתוח קיבוע מפרק קרסול? במצב של בעיות במפרק הקרסול, הגוף מנסה להקטין את טווחי התנועות במטרה להפחית את הכאב. הקטנת טווחי התנועות נוצרת ע"י אוסטופיטים והיצרות של מרווח בין המפרקים בקרסול. סוג זה של ניתוח משפיע על התנועה מעלה ומטה של הקרסול. מטרת ניתוח קיבוע מפרק הקרסול היא לוותר על תנועת פרק הקרסול שבכל מקרה, סובל מחוסר תנועתיות.

מה הן השפעות ניתוח קיבוע מפרק קרסול? לאחר ניתוח קיבוע מפרק קרסול החולה מאבד כ 75% מכלל התנועה מעלה ומטה של מפרק הקרסול וחלק מהתנועה המתבצעת בכף הרגל עצמה. התנועות מצד לצד של החלק האחורי של כף הרגל אינו מושפע מקיבוע מפרק הקרסול.

כיצד מתבצע ניתוח קיבוע מפרק קרסול? במהלך ניתוח קיבוע מפרק קרסול מתקנים את הזוויות של הקרסול או מגרדים את הסחוס כדי שיהיה חיבור טוב בין העצמות בעמדה טובה ומחברים אותם ע"י ברגים או פלטה. ברגע שהפרק מתמזג לעמדה טובה הברגים אינם נחוצים, אבל יוסרו רק לעתים נדירות.

למה לצפות לאחר ניתוח קיבוע מפרק קרסול?

  • לא ניתן לדרוך על כף הרגל במשך 6-8 שבועות לאחר הניתוח.
  • מומלץ להשתמש בקביים, הליכון, כיסא גלגלים על מנת להתנייד ללא דריכה.
  • הרגל תהיה חבושה לאחר הניתוח ,בתחבושת סטרילית וגבס קשה למשך שבועיים.
  • שבועיים לאחר ניתוח קיבוע מפרק קרסול יש לבקר רופא לצורך מעקב והסרת התפרים.
  • במידה והניתוח התבצע בקרסול השמאלי , ניתן להיות מסוגל לנהוג ברכב אוטומטי לאחר מספר ימים,
  • במידה והניתוח התבצע ברגל ימין, ניתן לנהוג לאחר 6 שבועות לפחות – יש להתייעץ עם הרופא המנתח. ( יש לבדוק כיסוי בביטוח הרכב)
  • ניתן להתחיל ללכת בגבס או מגף הליכה כ -6 שבועות לאחר ניתוח קיבוע קרסול, תלוי ברמת אי הנוחות וייעוץ לאחר ביקורת רופא.
  • יתכנו נפיחויות מתונות של כף הרגל, הקרסול והרגל במשך כ 6 חודשים לאחר הניתוח.
  • כוח הדריכה ישתפר בהדרגה במהלך 9 החודשים לאחר הניתוח.

תיאור שלבי החלמה צפויים לאחר ניתוח קיבוע מפרק קרסול:

יום 1

  • הרגל עטופה בתחבושת אלסטית וסד גבס קשה.
  • כדי להקל על הכאב ניתן לשים קרח, להרים את הרגל, לקחת משככי כאבים. צפויה חוסר תחושה בכף הרגל במשך 12-24 שעות.
  • יתכן דימום בתחבושת, חשוב לא להחליף את התחבושת.
  • אין להרטיב את התחבושת.
  • אין לדרוך על הרגל.
  • אין נשיאת משקל על כף הרגל בכלל למשך 6-8 שבועות.

ימים 10-14

  • ביקורת ראשונה אצל הרופא.
  • הורדת גבס ותפרים. ביקורת פצע ניתוחי.
  • ביצוע וניתוח צילום ביקורת.
  •  גבס חדש או מגף הליכה.

שבוע 6-8

  • צילום ביקורת.
  • גבס או מגף הליכה לעוד 4-6 שבועות.
  • נשיאת משקל מלאה מותרת בגבס או מגף הליכה.
  • צפי להורדת הגבס או מגף הליכה – ב12-14 שבועות לאחר הניתוח.

סיבוכים אפשריים לאחר ניתוח קיבוע מפרק קרסול:

  • זיהום פצע ניתוחי או זיהום בעצמות
  • דימום מהפצע ניתוחי
  • חוסר תחושה באזור הניתוח או בכף הרגל
  • אי חיבור
  • עיוות חדש

פרטים נוספים אודות ניתוח קיבוע מפרק קרסול:

סוג אשפוז: הניתוח מתבצע באשפוז עם לינה בבית החולים
זמן ניתוח: 90 דקות מרגע ההרדמה
סוג הרדמה: הניתוח מתבצע בהרדמה כללית ומקומית

 

תודות וקרדיטים יצירת קשר פניה למנהל האתר פרסום באתר רופא כונן 03-5302409  
© כל הזכויות שמורות לאלי וישניצר