English תנאי שימוש הודעות מפת האתר פורום צור קשר דף הבית  
דף הבית רפואה וטיפול  אורטופדיה ופיסיותרפיה  פתולוגיה באזור המרפק


 

 

 

פתולוגיה באזור מפרק המרפק
מתוך הרצאה בכנס השנתי של עמותת על"ה שנערך ב-16.9.2011

heim4@hotmail.com נכתב ע"י פרופ' מיכאל היים - אורטופד המרכז הארצי להמופיליה


פרופ' מיכאל היים

   

בתוך מפרק המרפק יש 3 מפרקים שעובדים כיחידה אחת.
המפרקים הם:
1. בין עצם הזרוע לאחת מהעצמות של האמה.
2. בין עצם הזרוע והעצם השניה של האמה
3. בין שני עצמות האמה.
כל שלושת המפרקים הם בתוך אותה המעטפת, ולכן בכל דימום במרפק שלושת המפרקים מעורבים.
בתוך מעטפת המיפרק נמצאות הרקמות הרכות-הסינוביה, שהן האחראיות על ניקיון חלל המפרק.
הסינוביה מלאה תאי דם ולכן היא גם המקור של הדימומים התוך מפרקיים.

גדילה של עצם בילדות תלויה בזרימת הדם ואם הסינוביה גדלה בתוך המפרק היא גורמת לגדילת יתר של קצות העצמות.
דימומים חוזרים של ריקמת הסינוביה גורמים לאספקת יתר של דם לראש הרדיוס, וכתוצאה מכך הוא גדל, וזה אופייני למרפקים של חולי המופיליה.
מניעת גדילת היתר מתבצעת על ידי שליטה על הדימומים בתוך מפרק המרפק. שליטה על הדימומים נעשית על ידי הזרקה של הפקטור החסר, ובזמנים ללא דימומים, על ידי התעמלות (פיסיותרפיה) המשמרת את טווח תנועת המפרק ומפתחת את השרירים סביב המפרק. (שרירים חזקים סביב מפרקים כגון ברך, שומרים עליהם).
 
סינוביטיס של המרפק מטופל כדימום על ידי מתן פקטור בכמות מניעתית; וכן על ידי מגן דינמי של המרפק מסוג Epitrain. בתוך 6 שבועות יש לצפות לירידה בהיקף המפרק ולשיפור בטווח התנועות בעיקר ליישור המפרק. חוסר בהתקדמות מסמן שיש צורך בטיפול פולשני על ידי הזרקה של חומר רדיואקטיבי (איטריום) שגורם לכוויה של הסינוביה, או פעילות כירורגית שמוציאה את רקמת הסינוביה באופן פיסי.
לאחר הפעולה החודרנית יש לתת פקטור למניעת דימומים ולהתחיל בפיסיותרפיה כעבור מספר ימים.

לחולי המופיליה, להם יש הגדלה של ראש הרדיוס, יש הגבלה של תנועות הסיבוב של האמה וטיפול אפשרי הוא כריתת ראש הרדיוס. טיפול זה משפר את טווח התנועה אולם מצד שני מחליש את כח הגפה (היד). מפרק המרפק מאוד חשוב אצל חולי המופיליה עקב בעיות ברכיים (לדוגמא: צורך להישען על המרפקים בקימה ממצב ישיבה) כך, שיש לשקול היטב את כדאיות הפעולה הזאת. ידוע שהריקמה הרכה סביב המרפק מאוד רגישה להפעלת כח עליה, ולכן בפיסיותרפיה צריך לעבוד בעדינות רבה. הפעלת כח יתר עלולה לגרום לדימומים בתוך הריקמה הרכה ועקב סיבה לא ידועה, הריפוי גורם להתגרמות תוך שרירית, ובנית עצם שמגדילה לאחר מכן את טווח התנועות.

 הטיפול הטוב ביותר הוא מתן פקטור בתוך שעתיים מאבחנת הדימום.

להגדלת התמונות לחץ עליהן.


עצמות מרפק שמאל, מבט תיכון.


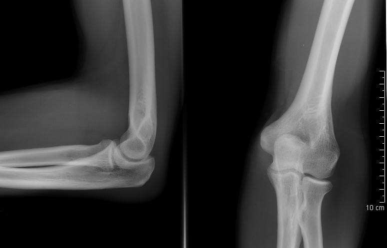
הדמיית רנטגן של מרפק במנח פשיטה (מימין) ובזווית של 90 מעלות כיפוף (משמאל). בתמונה הימנית נראים בבירור המרווח המפרקי של מפרק הזרוע והחישור וכן זווית הנשיאה של המרפק.

מרפק שמאל, מבט צידי-אחורי. שרירי זרוע שמאל, מבט קידמי. שרירי אמה שמאל, מבט קידמי.

 
מרפק שמאל, מבט תיכון-קידמי.

עריכה לשונית: דב רייפן ואלי וישניצר התמונות מתוך ויקיפדיה

תודות וקרדיטים יצירת קשר פניה למנהל האתר פרסום באתר רופא כונן 03-5302409  
© כל הזכויות שמורות לאלי וישניצר